 Zahnstein verbittert uns allen das Leben; Zahnstein ist ein mehr als unangenehmer Anblick, und mehr als ein ästhetisches Hindernis beim Erreichen eines schönen Lächelns.
Zahnstein verbittert uns allen das Leben; Zahnstein ist ein mehr als unangenehmer Anblick, und mehr als ein ästhetisches Hindernis beim Erreichen eines schönen Lächelns.Zahnstein kann zu Zahnfleischbluten, einem schlechten Mundgeschmack und -geruch führen, aus diesem Grund lohnt es sich den Zustand der Zähne mehrmals kontrollieren zu lassen, denn Zahnstein bildet sich meist oft an nicht sehbaren Stellen.
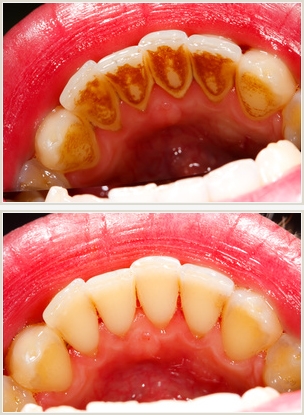
In der zahnmedizinischen Fachsprache wird der Zahnbelag als Dentalplaque bezeichnet, der von solchen Bakterien erzeugt wird, die an der Oberfläche der Zähne haften. Diese Bakterien sind nicht unbedingt schlecht und sie müssen auch nicht entfernt werden, es kann allerdings vorkommen, dass nach einem nicht perfekten (oder ausgefallenen) Zähneputzen, Speisereste in unserem Mund, zwischen den Zähnen bleiben. Diese vermischen sich mit dem restlichen Speichel und den Bakterien, vor allem bei gestauten, oder schwer zu reinigenden Zähnen. Bei Kronen oder Brücken können noch größere Probleme entstehen, dessen Folge ist, dass sich der Zahnbelag kalzifiziert, gelb oder braun wird, zu einer rauen Oberfläche wird, d.h. Zahnstein bildet sich. Die Probleme beginnen also mit dem Zahnstein, der äußerst stark an der Oberfläche der Zähne haftet, und mit herkömmlicher Zahnreinigung nicht mehr zu entfernen ist. Häufige Stelle, wo sich Zahnstein bildet, befinden sich hinter den oberen Mahlzähnen auf der Gesichtsseite und der inneren Oberfläche der unteren Frontzähne.
Zahnstein kann sich an sichtbaren und nicht sichtbaren Stellen ebenfalls bilden, daher ist es zweckmäßig den Zustand der Zähne auch dann kontrollieren zu lassen, wenn wir keinen Zahnstein sehen. Denn unter dem Zahnfleisch können auf uns unangenehme Überraschungen warten, der hier befindliche Zahnstein kann nur mit Hilfe von speziellen zahnmedizinischen Geräten entdeckt und entfernt werden.
 Unsere Zahnarztpraxis, die seit 2010 funktioniert mit 4 ausgezeichneten Zahnärzten mit 15-20 jährigen Erfahrung erwarten unsere Patienten in einer freundlichen Stimmung und Umgebung. Die von uns verwendete Materien und Geräte kommen 100% aus der EU und den USA.
Unsere Zahnarztpraxis, die seit 2010 funktioniert mit 4 ausgezeichneten Zahnärzten mit 15-20 jährigen Erfahrung erwarten unsere Patienten in einer freundlichen Stimmung und Umgebung. Die von uns verwendete Materien und Geräte kommen 100% aus der EU und den USA.  Ungepflegte und braune Zähne, weiterhin der damit verbundene Mundgeruch sind genug Gründe dafür, uns zu einer Reinigung zu bewegen, allerdings kann Zahnstein noch viel ernsthaftere Konsequenzen haben, denn auch Zahnfleischbluten kann dadurch verursacht werden.
Zahnstein bietet Bakterien weitere Möglichkeit zur Vermehrung, am Ende der gemeinsamen Zerstörung können Zahnbettentzündungen, Zahnbettverfall und das  Lockerwerden der Zähne eintreten. In diesem Stadium kann nur noch die Hilfe eines Zahnarztes eine Lösung sein, der mit Hilfe spezieller Mittel die Zähne reinigt, und auch die kleinsten Verfärbungen entfernt. Es wäre zweckmäßig Zahnstein jährlich drei- bis viermal entfernen zu lassen, damit am sein Zahnfleisch und die Knochen vor den Folgen schützt.
Dem Entstehen von Zahnstein kann gleichzeitig vorgebeugt werden, wenn man nur auf die Mundhygiene achtet. Unter anderem ist das tägliche, 2-4malige gründliche Zähneputzen, von mindestens 3 Minuten äußerst wichtig, was mit  spezieller Zahncreme durchgeführt werden kann, und so die Zahnsteinbildung vermieden oder verringert werden kann.